MRI
MRI検査について
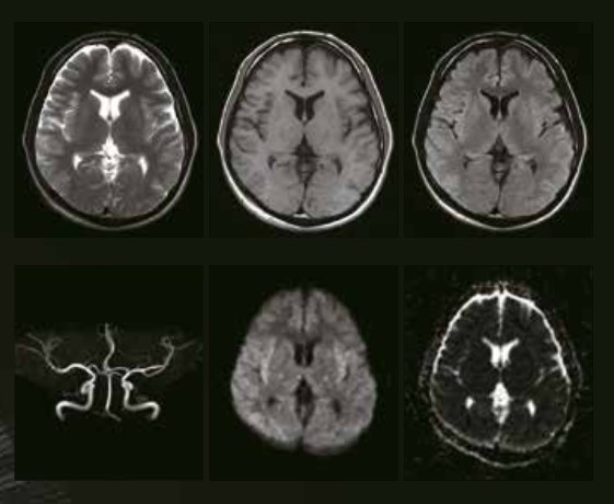
MRIは強い磁石と電波によって、身体の内部情報を画像化する検査で、Magnetic Resonance Imaging(磁気共鳴画像)の略です。レントゲン検査やCT検査とは異なり、放射線は使用しないため、被ばくの心配はありません。脳の形態や機能を調べることができます。脳卒中やがんなどの腫瘍がないかを調べることができ、認知症の原因検査にも有用です。脳の血管や神経の走行など細かな領域も評価が可能です。
当院のMRI機器
磁場強度0.4テスラ永久磁石 オープンMRIシステム
富士フィルム APERTO Lucent Plus (
メーカーホームページ)
当院のMRI機器の特徴
オープン型MRIであり、従来のトンネル型のMRIとは異なり、圧迫感が少なく、広い空間で検査が受けられます。狭いところが苦手な方や小児、お年寄りなど、MRI検査が苦手な方にも配慮した機器です。
従来のオープン型MRIでは、トンネル型と比べて低磁場であるため、どうしても画質が低下してしまうことが問題でした。しかし、当機器はAI技術を活用したSynergyDriveによって、通常の診療・診断に支障のないレベルの高画質を実現します。
近年、MRIにおいて注目されている高速化ソリューションの搭載が実現し、アンダーサンプリングと繰り返し再構成によって、画質を維持したままの短い撮像時間を実現しています。
MRI検査の注意点
検査室は強力な磁石により高磁場の空間になっております。貴金属や腕時計、磁気カード、電子機器等の持ち込みは破損や吸着事故(MRI装置に勢いよく飛んでゆき、くっついてしまいます)の恐れがあり、持ち込むことはできません。

